В Оренбурге хирурги удалили 20-летнюю огромную опухоль мужчине с пневмонией
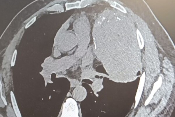
Снимок внутренних органов. Источник: Минздрав Оренбургской области В Оренбурге врачи удалили огромное новообразование в грудной клетке у жителя Орска, которое начало формироваться между сердцем,
                            
                            
                            Снимок внутренних органов. Источник: Минздрав Оренбургской области
В Оренбурге врачи удалили огромное  новообразование в грудной клетке у жителя Орска, которое начало формироваться между сердцем, правым легким и ребрами около 20 лет назад. 
 
   
Ранее новообразование не мешало пациенту, поделились в Минздраве. Со временем оно сильно увеличилось, заполнило пространство в грудной клетке и стало сдавливать легкое. Усугубилась ситуация в 2024 году, когда мужчина заболел пневмонией. Его направили в ООКБ №2, чтобы сделать операцию.
 
Продлилась операция почти 3 часа. Работу осложняло близость новообразования к крупнейшим кровеносным сосудам и сердцу. Однако хирурги со своей задачей справились успешно.
 
Мы также сообщали, что 30 января специалисты хирургического отделения ООКБ №2 прооперировали девушку, у которой сформировалась большая эхинококковая киста в во всей правой доле печени и частично — в левой. Эхинококкоз – это заражение ленточным гельминтом эхинококка. Болезнь протекает с поражением внутренних органов (печени, легких, сердца, головного мозга и др.) и образованием в них эхинококковых кист. Диагноз является смертельно опасным.
 
   
                                                                        
                                                                        
                        Ранее новообразование не мешало пациенту, поделились в Минздраве. Со временем оно сильно увеличилось, заполнило пространство в грудной клетке и стало сдавливать легкое. Усугубилась ситуация в 2024 году, когда мужчина заболел пневмонией. Его направили в ООКБ №2, чтобы сделать операцию.
Продлилась операция почти 3 часа. Работу осложняло близость новообразования к крупнейшим кровеносным сосудам и сердцу. Однако хирурги со своей задачей справились успешно.
Мы также сообщали, что 30 января специалисты хирургического отделения ООКБ №2 прооперировали девушку, у которой сформировалась большая эхинококковая киста в во всей правой доле печени и частично — в левой. Эхинококкоз – это заражение ленточным гельминтом эхинококка. Болезнь протекает с поражением внутренних органов (печени, легких, сердца, головного мозга и др.) и образованием в них эхинококковых кист. Диагноз является смертельно опасным.
Елизавета Чобанян, Урал56.Ру
Последние новости
Сменила регион, но не должность. Татьяна Савинова возглавила минздрав Свердловской области
Татьяна Савинова назначена министром здравоохранения Свердловской области и заняла пост заместителя губернатора по социальным вопросам.
Что нам стоит дом восстановить?
Одним из тех, кто решился на восстановление затопленного дома, стал председатель Орского отделения ДОСААФ России Николай Филатов.
Эксклюзивно об инклюзивном
Представьте, что ваш ребенок не умеет общаться с окружающим миром. Ни с вами, ни со сверстниками, ни с чужими людьми.
Куда пойти с детьми в Уфе: 10 весёлых мест на выходные
Идеи для семейного отдыха в столице Башкортостана — от активных игр до познавательных музеев
							Здесь вы найдете свежие и актуальные новости в Кисловодске, охватывающие все важные события в городе